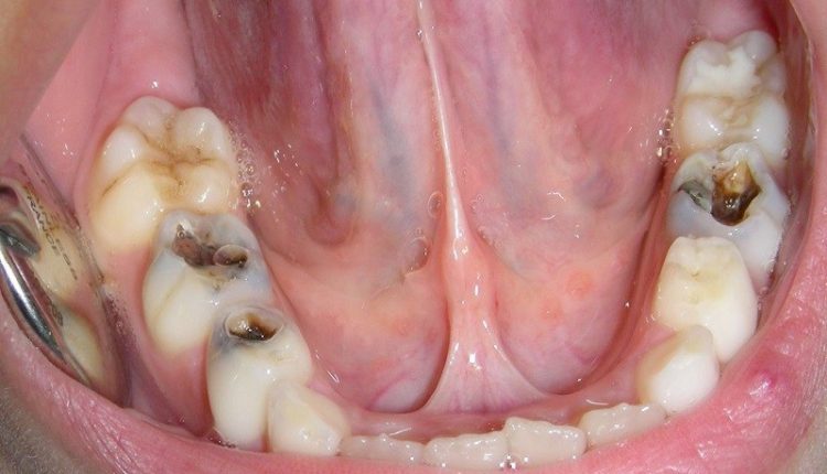
A veces pensamos que las caries fueron una etapa de la infancia porque comíamos muchos dulces, sin embargo en nuestra etapa de adultos también están presentes y por ende también en los niños, por lo que se debe tener cuidado puesto que estas pueden convertirse en infecciones graves e incluso pueden causar la muerte.
Las caries pueden llevarte a la muerte
Si, como lo leíste, de acuerdo con la coordinadora de Investigación del Servicio del Estomatología del Hospital General de México, Claudia Bravo, si las caries no se atienden, la calidad de vida de las personas se puede ver afectada por el dolor y la sensibilidad dental que estas ocasionan, pero de igual forma pueden llevar a la muerte.
Es por ello que dio a conocer que las complicaciones que se tornan graves de las caries es la angina de Ludwing (infección grave y de que rápidamente progresa) ocasionada por abscesos dentales, y la endocarditis ( “la membrana que recubre el interior de las cavidades del corazón”) la cual es originada por la propagación de las “bacterias de la cavidad oral hasta el corazón”; información adn40.


